时间:2024-07-09

图为伊海金医师门诊诊疗场景(王玉婷/摄)
眩晕是一种令人痛苦不堪的身体感受,常表现为看东西天旋地转,感觉身体旋转或晃动,站立、行走不稳,有时还会伴有心慌、恶心、呕吐等不适。导致眩晕的原因很多,包括耳部、前庭疾病、脑血管疾病、颈椎病等,涉及多个不同科室。“晕!不知道挂哪个科”——让患者明白挂号、精准就医,北京清华长庚医院首批上线的“专病中心”中,由耳鼻咽喉头颈外科开设了“眩晕专病中心”,帮助患者鉴别诊断眩晕,联合多学科提供医疗救治。
内耳疾病是引起眩晕最常见的原因,约占所有眩晕患者70-80%以上。清华长庚“眩晕专病中心”投入运营一个月,即接诊了百余位眩晕患者,其中的典型案例不少。

患者崔女士受“眩晕病”的折磨已有些年头了,检查报告厚厚一沓,住过院也输过液,但是眩晕好好坏坏,隔几个月就会发作一次。更麻烦的是,每次眩晕发作过后,崔女士的左耳听力都会下降,到现在已经比右耳差一大截了。眩晕专病中心主任伊海金和主任医师李欣接诊后详细询问了病史,并查阅了既往的检查结果,考虑梅尼埃病的可能性非常大。随后为崔女士安排的内耳核磁造影等检查证实,她的内耳存在明显的积水和严重的左耳感音神经性听力下降。伊海金为崔女士安排了保留听功能的内淋巴囊减压联合鼓室注射的手术,术后患者眩晕没有再发作,左耳听力也得到了保留。

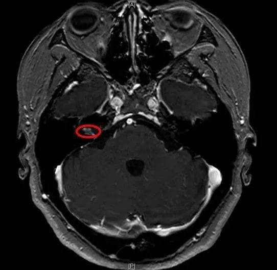
图为核磁影像下内听道肿瘤
患者王女士的经历则更为“惊险”。最近一年多,患者右耳的听力逐渐下降至听力基本丧失,她以为是年纪大了就没有在意。但是最近两三个月又多了头晕的毛病,走路像踩棉花不稳当,好几次还差点摔倒。伊海金医师为患者安排了内听道磁共振检查,发现其右侧内听道长了一个肿瘤。内听道是一根狭窄的骨管,里面容纳着多根神经,如果肿瘤继续生长,不但会导致听力下降、眩晕及平衡功能障碍,还有可能导致面瘫。在叶京英主任支持下,伊海金联合神经外科主任郭毅,带领许嘉、高娟娟医师为患者进行微创经迷路听神经瘤切除术,拆掉了耳朵里面的“危险分子”,还保留了面神经功能,避免了传统开颅手术的巨大风险。
据伊海金介绍,眩晕专病中心已对耳石症、突聋伴眩晕、中耳炎侵犯内耳导致的迷路炎以及自身免疫性疾病等导致的内耳眩晕开展规范诊疗,对于中枢性眩晕等患者,眩晕专病中心也能够及时鉴别并转介至其他科室,让患者少走弯路,尽早摆脱眩晕困扰。
文章 耳鼻咽喉头颈外科 许嘉
排版 宣传中心 于悦超
医院资讯 科普信息
挂号 小程序
操作简单 方便快捷
微信 服务号
就医服务 便民信息
官方 APP
功能丰富 特色服务